你有没有想过,当你的膝关节像老化的弹簧一样“嘎吱嘎吱”作响时,是不是该考虑一下换一个全新的“关节”呢?没错,我说的就是膝关节置换手术。今天,就让我带你一起走进这个神秘的世界,通过膝关节置换视频,看看这个手术的全过程,感受一下科技带给我们的奇迹。
一、膝关节置换手术的前世今生
提起膝关节置换手术,不得不提到一个名字——约翰·查尔斯·纳什。这位美国医生在1969年首次成功实施了膝关节置换手术,从此,这个手术就成为了治疗膝关节疾病的重要手段。
如今,膝关节置换手术已经走过了半个多世纪,技术也在不断进步。据统计,全球每年有超过100万人接受膝关节置换手术,其中我国患者数量也在逐年攀升。
二、膝关节置换手术的“幕后英雄”——膝关节置换视频
说到膝关节置换手术,不得不提的就是那些记录手术过程的视频。这些视频不仅让我们看到了手术的全过程,还让我们对手术有了更直观的了解。
通过膝关节置换视频,我们可以看到医生们是如何小心翼翼地将患者的膝关节取出,然后植入一个新的膝关节假体的。手术过程中,医生们需要精确地测量患者的膝关节尺寸,以确保假体能够完美地贴合。
三、膝关节置换手术的“幕后英雄”之——术前准备
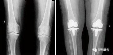
在手术之前,医生会对患者进行详细的检查,包括X光、CT等,以了解患者的膝关节状况。此外,医生还会对患者进行术前谈话,告知手术的风险和注意事项。
术前准备还包括对患者进行血液检查、心电图等,以确保手术的安全性。当然,还有一项非常重要的准备工作——手术部位的清洁和消毒。
四、膝关节置换手术的“幕后英雄”之——手术过程
手术过程中,医生会首先将患者的膝关节取出,然后植入一个新的膝关节假体。这个假体通常由金属和塑料制成,具有很高的耐磨性和生物相容性。
手术过程中,医生会使用特殊的工具进行操作,以确保手术的顺利进行。手术时间通常在1-2小时左右,具体时间因患者个体差异而异。
五、膝关节置换手术的“幕后英雄”之——术后恢复
手术完成后,患者需要进入恢复期。在这个阶段,患者需要按照医生的指导进行康复训练,以帮助膝关节恢复功能。
术后恢复期通常需要几周至几个月的时间,具体时间同样因患者个体差异而异。在恢复期间,患者需要注意以下几点:
1. 遵医嘱服用药物,预防感染和疼痛;
2. 适当进行康复训练,增强膝关节力量;
3. 避免剧烈运动,以免影响膝关节恢复。
通过膝关节置换视频,我们可以看到,膝关节置换手术不仅能够帮助患者摆脱疼痛,还能让他们重新拥有健康的生活。
膝关节置换手术是一项伟大的医疗技术,它让无数患者重获新生。而那些记录手术过程的视频,更是让我们对这项技术有了更深入的了解。让我们一起期待,未来科技的发展,为更多患者带来福音。
转载请注明来自任我爽精品视频,本文标题:《膝关节置换视频,从术前准备到术后康复》











京公网安备11000000000001号
京ICP备11000001号