干马苏视频,揭秘短视频背后的创作魅力
亲爱的读者,你是否曾在某个闲暇的午后,无意间在网络上瞥见了一段名为“干马苏视频”的短视频?那段视频,就像是一股清流,瞬间吸引了我的眼球。今天,就让我带你一起深入探索这个神秘的视频世界,看看它究竟有何魅力。一、干马苏视...
大花花 微拍视频,捕捉生活瞬间,展现美好时光
你知道吗?最近有个叫“大花花”的短视频账号在网络上可是火得一塌糊涂呢!我最近迷上了这个账号,简直停不下来。今天,就让我带你一起来探索这个充满趣味和创意的世界吧!大花花的世界,色彩斑斓一提到大花花,你可能会想到什么?是...
陈式太极拳视频教程,入门到精通的实战指南
太极拳,这个古老而神秘的武术,一直以来都吸引着无数人的目光。它不仅是一种强身健体的方式,更是一种修身养性的艺术。今天,就让我带你走进陈式太极拳的世界,通过视频教程,感受这门古老技艺的魅力。一、陈式太极拳的起源与特点陈...
拔白头视频,传统技艺与现代视角的碰撞
你有没有发现,最近网上突然流行起了一个神奇的视频——拔白头!没错,就是那种让你瞬间变身“黑发小哥哥/小姐姐”的神奇魔法!今天,就让我带你一起揭开这个神秘视频的神秘面纱,看看它究竟是如何在网络上掀起一阵热潮的。一、拔白...
延世大学视频,校园风光与学术魅力一瞥
亲爱的读者们,你是否曾对韩国的大学充满好奇?今天,就让我带你走进韩国的顶尖学府——延世大学,一起探索这所名校的魅力所在吧!一、延世大学的魅力延世大学,简称“延大”,位于韩国首尔,是一所拥有悠久历史和深厚文化底蕴的知名...
万生物视频,探索生命奥秘的视觉之旅
亲爱的读者们,你是否曾在某个闲暇的午后,被手机屏幕上跳动的视频吸引,好奇地按下了播放键?今天,就让我带你一起探索一个神奇的世界——万生物视频,看看这个新兴领域是如何在互联网上掀起一股热潮的。万生物视频:什么是它?万生...
儿歌视频100首,100首儿歌视频精选回顾
亲爱的读者们,你是否还记得那些伴随着我们成长的儿歌呢?那些简单而又朗朗上口的旋律,仿佛是时光的魔法,将我们带回到无忧无虑的童年。今天,就让我们一起走进儿歌的世界,探索那些让人回味无穷的100首儿歌视频吧!儿歌的魅力:...
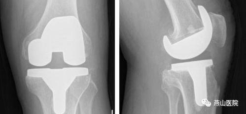
膝关节置换视频,从术前准备到术后康复
你有没有想过,当你的膝关节像老化的弹簧一样“嘎吱嘎吱”作响时,是不是该考虑一下换一个全新的“关节”呢?没错,我说的就是膝关节置换手术。今天,就让我带你一起走进这个神秘的世界,通过膝关节置换视频,看看这个手术的全过程,...
北京堵车视频,车水马龙,出行挑战
你有没有想过,当北京这座繁华都市的街道上,车水马龙,拥堵不堪时,那会是怎样的景象呢?今天,就让我们一起揭开这神秘的面纱,通过一些真实的北京堵车视频,一探究竟吧!一、北京堵车,你见过吗?提起北京堵车,相信很多人都会想起...











京公网安备11000000000001号
京ICP备11000001号